MENU
インプラント
About
インプラントとは何か?
インプラントとはどのような治療でしょうか。
「聞いたことはあるけど、、、」
「友人はとても快適だと言っていた、、、」
「知り合いはやめた方が良いと言っている、、、」
など患者様から良い話も悪い話も聞きます。ここではインプラントについて少し詳しくご説明します。
インプラントとは、歯を失ってしまった部分の治療法で、ブリッジや入れ歯同様歯の欠損を補う治療オプションの一つです。顎の骨にチタン製のネジ状の金属を埋め込み、そこへ上部構造としてアバットメントという土台とかぶせ物を装着し、歯と同様に使用するものです。

Recommend
インプラントが適応の方
歯を失ってしまった
歯を抜いてそのままになっている
これから歯を抜歯しなければいけない
入れ歯でうまく噛めない、もっとしっかり咬みたい
入れ歯は嫌だ
上記のような方が対象となります。
History
インプラントの歴史
インプラントの歴史はそう古いものではありません。1952年スウェーデン、ルンド大学ブローネマルク教授によってチタンと骨が結合する「オッセオインテグレーション」(ラテン語の骨{Oss}と英語の結合{Integration}が合わさった造語)が発見されました。これ以前にも歯の代用としてインプラントは存在していましたが、骨と直接結合したものでなく、治療結果が良くないものでした。ブローネマルク教授は整形外科医で、ウサギの骨内の血流を見るという動物の生体実験を行っていました。骨の中に鉄などの金属を挿入して、血流を顕微鏡で観察するというものでした。しかし生体の骨内に金属を入れると、生体は異物反応により炎症をおこし実験がうまくいきませんでした。そこで色々な金属を試し、その中で炎症を起こさなかったのがチタンでした。ブローネマルク教授は無事実験を終えることができました。そして実験後チタンを引き抜こうとしましたが、骨とくっついてしまい抜けなくなってしまいました。これがオッセオインテグレーションのスタートです。そして1965年より現在歯科治療で行われているデンタルインプラント(オッセオインテグレーテッドインプラント)が臨床で使われはじめました。日本には1980年代にノーベルファルマ社のブローネマルクシステムインプラントというものが初めて入ってきました。最初は、特に歯の1本もない方に複数のインプラントを埋入し、一体型の上部構造を入れ、歯肉から高さをだした高床式(スウェディッシュタイプ)というものが主流でした。それからインプラントの研究開発が進み、現在では1本から歯の1本もない方まで治療可能となりました。インプラントの上の部分もかぶせ物のタイプや取り外しのできる入れ歯タイプなど様々な応用が可能になっています。
Merit
インプラント治療のメリット
自然な噛み心地の回復
インプラントは顎の骨に直接固定されるため、天然歯に近い噛み心地を実現できます。硬い食べ物でも安心して噛むことができ、食事の楽しみを取り戻すことができます。
他の歯への負担軽減
ブリッジのように隣の健康な歯を削る必要がなく、部分入れ歯のように他の歯に負担をかけることもありません。お口全体の健康維持に貢献します。

優れた審美性
天然歯と見分けがつかないほど自然な見た目を実現できます。笑顔に自信を持つことができ、見た目のコンプレックス解消にもつながります。
長期的な安定性
適切なメンテナンスを行うことで、長期間にわたって機能を維持できます。当院で使用するアストラテックインプラントシステムは、長期的な予後の良好さでも実績があります。
顎の骨の保持
インプラントが骨に適度な刺激を与えることで、骨の吸収を防ぎ、顎の形態を維持することができます。
Column
インプラントを成功させるには?
インプラントを成功させるためには、どういうことを考慮したらよいのでしょうか。1981年にアルブレクトソン教授がインプラントに必要な要件を次の6つと説きました。現在では、インプラント自体がより良くなっているため変わってきている部分もありますが、重要な項目は変わっていないと考えていますので記載します。
インプラントに必要な要件それは「生体適合性」、「形状」、「表面性状」、「骨の状態」、「外科手技」、「負荷の状況」です。
「生体適合性」とは、体といかに合っているかということです。主にインプラントの材料を示します。現在では純チタン、チタン合金が良いと言われています。(最近だとジルコニアなども研究開発されています)

「形状」とはインプラントの形の事です。過去色々な形がありましたが、今はほとんどのメーカーがスクリュータイプ(ネジ状)を採用しています
「表面性状」はインプラントの表面を指します。初期のブローネマルクインプラントは機械研磨という状態でした。目ではピカピカ光って見えるが、電子顕微鏡では凹凸のあるものです。これは現在のインプラント表面と比べ骨とのくっつきが遅いです。その後、表面に粒子を吹き付け、凹凸をつけたものなどが登場し、現在では、インプラント表面を化学的に処理し、より骨を作る細胞が好む表面を作りだしています。こうすることでより早期に骨とインプラントがくっつくようになりました。
「骨の状態」これは、インプラントが植立される骨の状態のことです。インプラントの入る部分の骨の高さや幅があり、感染がなく、血の流れが多くある骨が十分にあるかなどです。近年では骨の条件を改善する手技、材料などが登場し、適応範囲を広げることができるようになりました。骨を移植したり、骨の再生治療を行いインプラント埋入ができる状態を作ります。
「外科手技」とは、歯科医師がインプラントを埋入する手順や手術方法のことです。単純なインプラントを埋入する手技はそれほど複雑な処置ではありません。ただ、慣れてステップを省いたり、高速で骨をけずったり、切れなくなったドリルを使い続けたり、注水を怠ったりなど、基本的な手技を忠実に行わないとトラブルが起きます。最近ではより審美的な結果が得られるような手技や期間を短縮するような手技、インプラント周囲のお手入れをしやすくするような手技などが登場しています。それらはより歯科医師の知識や技術が必要となります。
「負荷の状況」とは、インプラントが骨にくっつくまでに咬む力を与えるかということです。製品や状況によって期間に差はありますが、骨とくっつくまで無理に力を(咬む力)加えてはいけないということです。早期に力が加わると、骨とインプラントの間に隙間が生まれそこに組織が入り込み骨とくっつくのを阻害してしまいます。これは骨折した時と同じです。骨折はギブスやチタンのプレートなどで固定して、動かないようにして骨と骨がくっつくのを待ちます。インプラントも骨とくっつくまでメーカー指定の期間待機します。各インプラントメーカーは、インプラントと骨とのくっつきを早めて治療期間を短縮しようと研究開発を行っています。
これらを診査にて把握し、信頼のおけるインプラントシステムを用いて、忠実に処置していくことでインプラント治療を成功へ導くと考えています。インプラントの成功のためには、他にもたくさんの要件があります。下記に当クリニックがインプラント治療を行うにあたり行っていることを記載しています。
System
信頼のおけるインプラントシステム
当クリニックはインプラントシステムを選択するにあたり要件を決めています。
「確実にオッセオインテグレーションが獲得できるインプラント」、「十分な強度のあるコンポーネント」、「緩まないアバットメント」、そして「経時的骨吸収の無いまたは少ないインプラント」を考えています。また深く研究され論文が多く出ているということも重要なことです。これらを念頭に置き、また新たな製品は論文などを見極めて、臨床に取り入れなければならないと考えています。
当院では、スイス発のStraumann(ストローマン)インプラントシステムを採用しております。Straumann(ストローマン)社は歯科インプラント領域のトップブランドとして、臨床・研究の蓄積が豊富です。特に、材質や表面処理、接合構造などにおいて独自の技術をもち、高い信頼性を誇ります。

ストローマンインプラントの主な特徴(4つのポイント)
高性能合金「Roxolid®(ロキシロイド)」
Straumann社が開発したチタン‐ジルコニウム合金で、純チタンと比較して引張強度や疲労強度が優れており、狭いスペースや骨が限られた症例にも対応しやすくなっています。
表面技術「SLActive®(エスエルアクティブ)」
インプラント表面に細やかな加工を施し、親水性・化学的活性を高めることで、骨との結合(オッセオインテグレーション:骨がインプラントとくっつくこと)を促進します。実験データでは従来のSLA表面に比べて骨の生成が早く進んだという報告があります。
Bone Control Design®/CrossFit® コネクション
骨縁部(歯肉や骨の上端)をできるだけ守る設計「Bone Control Design®」や、アバットメント(歯の土台部分)との確実な接合「CrossFit®」を採用。これにより、インプラント周囲の骨・歯肉の安定を図る構造となっています。
豊富な臨床実績・幅広い適用範囲
Straumannのインプラントは長期追跡データや多くの臨床研究に裏付けられており、通常症例から難症例(骨が少ない部位・即時荷重)まで幅広く応用されています。
当院における位置付け
当院では、上記のようなStraumannインプラントの技術的優位性を活かし、「なるべく削らず・補綴(歯の被せもの)も長持ちする」インプラント治療を心がけています。特に、骨の幅・高さが限られるケースや、治療期間をなるべく短くしたい患者さまにも対応できる設計が整っています。もちろん、術前の診査・検査を丁寧に行い、安全性・ご希望に応じたプランをご提示いたします。
Column
インプラントを成功させるには2
インプラントを成功させるためには術者の問題もあります。これを考えるのにはインプラントの失敗から考えた方がわかりやすいと思います。インプラントの失敗には、治療後短期間で起きた失敗と長期間経ってから起きた失敗があります。
短期間で起きた失敗で考えられる原因は、手術時の感染、インプラント埋入手技、治癒期間中の感染、治癒期間や免荷期間(咬み始めるタイミング)の見誤りなどです。これらは治療前の診査・診断また正しい知識と技術にて失敗が回避できることであると思います。また、患者様の問題として、全身状態、骨の質、負荷の強さ、習慣なども関係してくる場合もあります。術者は必要な問診と診査を行い考慮して行わなければいけません。
長期間経って起こる失敗にはインプラントやコンポーネントの破折やゆるみ、インプラント周囲の歯肉の炎症(インプラント粘膜炎、インプラント周囲炎)、インプラントの脱落などがあります。長期間これらのトラブルを防いでいくためには、多くのことを考慮する必要があります。特に考慮する必要があるのは「力」と「炎症」です。
「力」ですが、これはインプラントに対しどのような、またどれくらいの力がかかっているのかということです。これはほかの歯も含めたかみ合わせや、咬む力の強さ、歯ぎしりや食いしばりなどの癖、インプラントの位置や方向、インプラントのかぶせ物のかみ合わせなどを考慮しなければいけません。
「炎症」とはお口の中の細菌が原因で起きる体の反応です。(下記のインプラント周囲炎を参照ください。)細菌が原因となっているので、インプラント周囲にできるだけ細菌をあつめないようにしなければいけません。そのためには、インプラントの位置やインプラントのかぶせ物の形態や周囲の歯肉をお掃除しやすい形態にしたり、定期的に歯科医院にてプロフェッショナルケアを受けていただいたり、またご自身でのホームケアを覚えて頂いたりということを行います。歯を失った原因が歯周病であったり、残っている他の歯が歯周病である場合は特に注意が必要です。これらを複合的に考えて、インプラントを行わなければならないと考えています。
Column
インプラント後に必要なこと
インプラントはインプラントを入れて終了ではありません。これから維持していくことが重要です。インプラントは虫歯にはなりませんが、天然の歯の歯周病に似た病気になる場合があります。「インプラント粘膜炎・インプラント周囲炎」といい、どちらもインプラント周囲の歯肉が炎症を起こす病気です。未だ解明されていない部分もありますが、インプラント周囲の細菌が影響していると考えられています。粘膜炎は一時的に歯肉が炎症を起こしていて、清掃などを行うことで回復します。インプラント周囲炎は、インプラントを支える骨を溶かしてしまう病気で、インプラントを撤去しなければいけないこともあります。またインプラント周囲炎には、確定的な治療法は確立されていません。インプラントを直接ブラシで清掃したり、エアフローのような清掃器具を用いたり、レーザーを応用したりと色々な方法でインプラント周囲炎の治療にあたっています。
当クリニックでは、こういった病気にならないよう、また早期に発見できるよう、定期的に健診と歯科医院でのプロフェッショナルケア、ご自宅でのホームケアの確認を行っています。
Treatment
当院で行うインプラント専門治療
骨造成
骨造成は、歯を失った部分の骨が不足している場合に、人工的に骨を増やす治療法です。特にインプラント治療を行う際には、インプラントを支えるのに十分な骨の厚みと高さが必要です。当院ではインプラント治療を行うのに骨が足りないといわれた患者様にもご対応が可能です。
オールオン4
オールオン4とは、歯をすべて失ってしまった方や、残存歯が少なくなってしまった方のためのインプラント治療です。この治療法では、上顎もしくは下顎に4本のインプラントを埋入し、その上に固定式のブリッジを装着することで、全ての歯の機能を回復させます。治療には相当な技術が必要ですが、当院では専門的な知識と高い技術力があるので安心してお任せください。
即時埋入
即時埋入とは、歯を抜いたその日(同日)にインプラントを埋入する治療法です。従来のインプラント治療では、抜歯をしてから一定期間(通常3〜4ヶ月程度)骨の治癒を待ってからインプラント埋入手術を行うのが一般的ですが、抜歯したその日にインプラント埋入を行うことができるので治療期間が短縮できます。
インプラントオーバーデンチャー
入れ歯でうまく噛めない、入れ歯が外れやすいという問題を抱えている方へはインプラントオーバーデンチャーがおすすめです。インプラントオーバーデンチャーは、少数のインプラントを顎の骨に埋め込み、そのインプラントを利用して入れ歯を固定する治療法になることから、従来の入れ歯と比べて格段に噛みやすく、外れにくくなります。
Feature
当クリニックのインプラントの特徴
すべての方にCT診査を行います。
インプラントにおいても、お口の状況や環境を調べるため、お口全体を診査しています。かみ合わせや顎の運動、歯周病検査、CT撮影などを行います。特にCT画像から骨の状態や形態等を確認し、治療が始まる前のご説明の段階で、どのようなインプラントをどのように植立していくかを考えます。通常のインプラントが可能なのか、神経や上顎洞(鼻の横の空間)などの制約で、アドバンスな処置が必要かある程度決め治療計画を立案しご説明します。そのためインプラント処置をお考えのすべての方にCT撮影を行っています。(CT撮影費用はインプラント費用に含んでいます。)
シュミレーションソフト、サージカルガイドの活用
「サージカルガイド」(サージカルステントやテンプレート等と呼ばれていることもあります。)とは、インプラント埋入手術時に、計画した場所にインプラントを正確に植立するための道具です。見た目はマウスピースのようなものです。インプラントの計画は、CT画像をシュミレーションソフト上で、まず最終的にかぶせ物が入る位置を決めて、それに合わせてインプラントの植立位置を決めます。(補綴主導型といい、術後の管理や予後などに有利であると考えているからです。)そして、配置したインプラントが骨に収まり、お掃除しやすいかや神経や上顎洞などの制約を受けるかを確認し修正していきます。この時必要であれば、骨移植の方法や量なども検討します。インプラントの配置位置が決定したら、この位置関係をマウスピースのようなものに写し手術に応用します。サージカルガイドを作製するメリットは、術前診査に活用できる点、計画通りの埋入を行える点、模型やソフト上でじっくりシュミレーションを行うので明確なイメージが頭の中にできる点です。それにより神経や血管などを傷つけるトラブルのリスクを減らすことができます。デメリットは、作製に手間と時間と費用がかかることです。術者がサージカルガイドに慣れていない場合、骨の状態などが予測していたものと違った時に対応が難しいようですが、そこはシュミレーションの段階で予測しあらかじめ対応策を立てておくことで回避できます。当クリニックでは、特殊な条件の場合以外はサージカルガイドを必ず作製して手術を行っています。
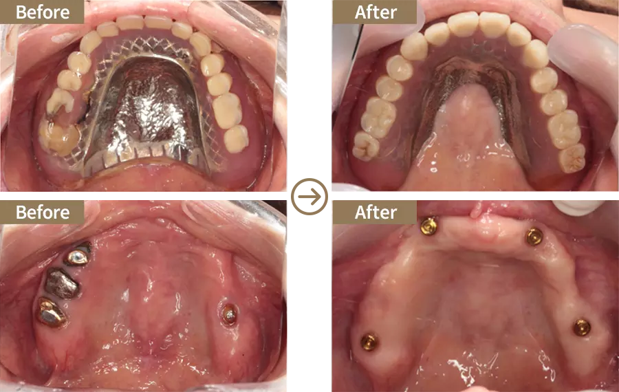
Case
当院で行ったインプラント症例
当院で行ったインプラント症例を一部ご紹介いたします。当院では患者様一人ひとりの口腔内の状況に合わせた最適なインプラント治療を提供しています。ここに載せていない症例も多数ございますので、インプラントでお悩みの方は当院へ是非一度ご相談ください。
Case.01 20代女性
歯が抜けていたところにインプラント治療をしました。

詳しく見る
| 主訴 | 歯を抜いてそのままになっている |
| 治療内容 | インプラント埋入治療 |
| 治療後経過 | 5年 |
| 治療期間 | 約3か月 |
| 治療費用 | ¥450,000- |
Case.02 30代女性
抜歯した部分にインプラント治療を行いました。

詳しく見る
| 主訴 | 歯が痛い、腫れた |
| 診断結果 | 歯牙破折 |
| 治療内容 | インプラント埋入治療 |
| 治療後経過 | 3年経過 |
| 治療期間 | 約6か月 |
| 治療費用 | ¥400,000- |
Case.03 70代女性
長年左下欠損を放置。咬めるようにしたいとのことでインプラント治療を行いました。

詳しく見る
| 主訴 | 歯を入れたい。 |
| 診断結果 | 歯牙欠損 |
| 治療内容 | インプラント埋入治療 |
| 治療後経過 | 3年 |
| 治療期間 | 約3か月 |
| 治療費用 | ¥900,000- |
Case.04 60代女性
歯が割れてしまったので、抜歯し他の欠損と共にインプラント治療を行いました。

詳しく見る
| 主訴 | 下の歯が動く。 |
| 診断結果 | 歯牙破折(左側)、歯牙欠損(右側) |
| 治療内容 | 抜歯、インプラント埋入治療 |
| 治療後経過 | 6年 |
| 治療期間 | 約8か月 |
| 治療費用 | ¥1,800,000- |
Case.05 40代男性
右奥歯がなくなり放置していたが、左奥歯が痛くなった。咬めるようにしたいとのことでインプラント治療、セラミック修復を行いました。

詳しく見る
| 主訴 | 奥歯が咬むと痛む |
| 診断結果 | 歯根破折、う蝕 |
| 治療内容 | 抜歯、インプラント埋入治療、セラミック修復 |
| 治療後経過 | 6年 |
| 治療期間 | 6か月 |
| 治療費用 | ¥1,000,000- |
Case.06 60代男性
奥歯がなくなり咬めないので、咬めるようにしたいとの希望でインプラント治療を行いました。

詳しく見る
| 主訴 | 歯がぐらつく。かぶせ物取れたが放置していた。咬めるようにしたい。 |
| 診断結果 | 歯根破折、う蝕 |
| 治療内容 | 抜歯、インプラント埋入治療、セラミック修復 |
| 治療後経過 | 6年 |
| 治療期間 | 10か月 |
| 治療費用 | ¥1,900,000- |
Case.07 40代男性
虫歯により抜歯し、インプラント治療を行いました。

詳しく見る
| 主訴 | 抜けたり取れたりしていたが放置していた。 |
| 診断結果 | 歯根破折、う蝕 |
| 治療内容 | 抜歯、インプラント埋入治療 |
| 治療後経過 | 5年 |
| 治療期間 | 10か月 |
| 治療費用 | ¥1,000,000- |
Case.08 40代女性
歯が割れてしまったので、抜歯しインプラント治療を行いました。

詳しく見る
| 主訴 | 咬むと痛い |
| 診断結果 | 歯牙破折 |
| 治療内容 | 抜歯、即時インプラント埋入治療 |
| 治療後経過 | 2年 |
| 治療期間 | 5か月 |
| 治療費用 | ¥550,000- |
Case.09 40代女性
歯が割れてしまったので、抜歯しインプラント治療を行いました。

詳しく見る
| 主訴 | 歯が痛い |
| 診断結果 | 歯根破折 |
| 治療内容 | 抜歯、即時インプラント埋入治療 |
| 治療後経過 | 5年経過 |
| 治療期間 | 約5か月 |
| 治療費用 | ¥550,000- |
Case.10 70代女性
長いブリッジと部分入れ歯をインプラントとブリッジにて治療しました。

詳しく見る
| 主訴 | 歯肉が腫れて痛む。入れ歯を入れたくない |
| 診断結果 | 歯根破折、う蝕 |
| 治療内容 | インプラント埋入治療、ジルコニアセラミックブリッジ |
| 治療後経過 | 5年 |
| 治療期間 | 約7か月 |
| 治療費用 | ¥2,500,000- |
Case.11 70代女性
入れ歯が取れやすくくなったこと、うわ顎を覆わない入れ歯にしたいとの希望で、インプラントオーバーデンチャーを作製しました。

詳しく見る
| 主訴 | 入れ歯が取れやすい |
| 診断結果 | 歯根破折、う蝕、義歯不適合 |
| 治療内容 | インプラント埋入インプラントオーバーデンチャー作製 |
| 治療後経過 | 3年 |
| 治療期間 | 5か月 |
| 治療費用 | ¥1,500,000- |
Flow
当クリニックのインプラントの流れ
Step 01
診査・診断・治療計画の立案
Step 02
初期治療
Step 03
インプラント埋入のためのCT診査
Step 04
手術
Step 05
かぶせ物装着
Step 06
メンテナンス
インプラントもブリッジや入れ歯同様に失った歯を補う治療の選択肢1つとして、信頼のおける治療法であると考えています。しかしインプラントはやり直しが容易にできない治療です。そのため、お口全体の診査・診断、CT診査、滅菌体制、感染対策などを的確に行い、安心、安全のために最善を尽くす必要があると考えています。また術者やスタッフも研鑽を積み、知識や能力を高めていかなければいけないと思っています。
今まで噛めなかったものが咬める、コンプレックスが解消されるなど喜びも大きい治療です。歯を失ってしまった方、現在うまく噛めていない方などお困りの方は、まずはご相談ください。現況を見定めしっかりとご説明します。
Second Opinion
セカンドオピニオン
インプラント治療について「本当にこの治療でいいのか不安」「他の選択肢も知りたい」と感じられた場合は、セカンドオピニオンを受けることもおすすめです。複数の医師の意見を聞くことで、治療内容への理解が深まり、より納得して治療を選ぶことができます。
Price
インプラントの治療費
| インプラント CT診断料+サージカルガイド+オペ費用+アバットメント+ジルコニアクラウン | ¥550,000 |
| GBR | ¥88,000 |
| サイナスリフト | ¥220,000 |
| ソケットリフト | ¥110,000 |
| 抜歯即時埋入 | ¥110,000 |
| オールオン4 | ¥3,300,000 |
| ソケットプリザベーション | ¥55,000 |
RESERVE
来院のご予約はこちらから
TREATMENT
診療案内
-
{歯が痛い}
{歯茎が痛い}虫歯治療
-
{何もしなくてもズキズキと痛む}
{痛みが消えた}根管治療
-
{噛むと強く響くような痛みがある}
{以前治療した歯が再びうずく}精密根管治療
-
{冷たいもの・熱いもので強くしみる}
{ズキッとする痛みが続く}抜髄治療
-
{治療した歯が腫れてきた}
{噛むと鈍い痛みが残る}感染根管治療
-
{歯茎から血が出る}
{歯がぐらつく}歯周病治療
-
{歯茎が下がってきた}
{歯の根が見えてしみる}歯周外科治療
-
{歯周ポケットが深いと言われた}
{歯茎の腫れが繰り返す}歯周再生治療
-
{虫歯になりたくない}
{歯の掃除をしたい}予防歯科・クリーニング
-
{詰め物/被せ物が取れた}
{口の見た目を改善したい}審美歯科
-
{しっかり嚙める歯が欲しい}
{入れ歯が嫌だ}インプラント
-
{歯並びを治したい}
矯正治療
-
{歯並びを治したい}
アライナー矯正
-
{よく噛める入れ歯が欲しい}
{今の入れ歯が痛い}入れ歯治療
-
{親知らずを抜きたい}
親知らずの抜歯
-
{口内炎が痛い}
{発音障害を直したい}口腔外科
-
{口内炎が痛い}
口内炎の治療
-
{発音障害を直したい}
舌小帯短縮術
-
{歯肉の形を整えたい}
歯肉形成
-
{将来のことを考えて
抜本的に直したい}
{歯がボロボロになってしまった}全顎治療
-
{歯茎が下がってきた}
{歯の根元がしみる}遊離歯肉移植術
-
{歯茎のボリュームを増やしたい}
{歯茎が薄くて不安}結合織移植術
-
{歯がほとんど残っていない}
{噛めない・見た目が気になる}総入れ歯
-
{歯を失ってしまった}
{ブリッジができないと言われた}部分入れ歯