MENU
ソケットプリザベーション
About
ソケットプリザベーションとは
どのようなものか、何のために行うべきなのか
歯を抜いた後の穴(抜歯窩)は、そのまま放置しておくと時間とともに顎の骨が吸収され、徐々に痩せていきます。ソケットプリザベーションとは、抜歯と同時に、または抜歯直後にこの穴へ骨補填材(人工骨や自家骨など)を填入し、骨の量と形態をできるだけ維持するための処置です。
この処置が特に重要とされるのは、将来のインプラント治療を視野に入れている場合です。インプラントは顎骨に人工歯根を埋め込む治療であるため、埋め込む土台となる骨が十分に残っていることが前提となります。抜歯後に骨の吸収が進んでしまってから別途骨を増やす手術(骨造成)を行うことも可能ですが、それは患者様にとって処置の回数が増えることを意味します。抜歯の段階でソケットプリザベーションを施しておくことで、後の治療をよりシンプルに、かつ安定した状態で進められる可能性が高まります。
一方、インプラントを希望されない患者様にとっても、この処置は意義を持ちます。ブリッジや取り外し式の義歯を用いる場合でも、顎骨の形態がしっかりと保たれていると、装置の安定性や歯茎の外観に大きな差が生まれます。「将来どんな治療を選ぶかまだ決まっていない」という段階においても、選択肢を広げておくという観点からソケットプリザベーションを検討する意味があります。
処置自体は抜歯と同日に行えることが多く、骨補填材を抜歯窩に填入した後、コラーゲンメンブレンや縫合で保護するという内容です。処置後は数ヶ月かけて材料が自分の骨へと置き換わっていき、顎の形態が安定します。
ソケットプリザベーションを行わないとどうなるか
抜歯後に何も処置をしない場合、顎の骨は数ヶ月にわたって急速に吸収されていきます。吸収は抜歯後すぐに始まり、高さ・幅ともに大きく変化することが知られています。骨量の変化は時間の経過とともに緩やかにはなりますが、一度失われた骨を自然に取り戻すことは難しく、後の治療方針にも影響を及ぼします。
骨の吸収が進むことによって生じる問題のひとつが、インプラント治療の難易度が上がることです。骨量が不足している場合、インプラント埋入の前に骨造成手術(GBRやソケットリフトなど)を別途行う必要が生じることがあり、治療の期間や処置の回数が増えることになります。
また、歯茎や顎骨が痩せると、歯が欠けた部分のくぼみが目立ちやすくなります。とりわけ前歯の部位では外見上の変化が大きく現れる傾向があり、見た目の印象に影響する場合があります。さらに、骨の吸収に伴って隣接する歯が傾いたり、噛み合わせのバランスが変化したりするケースも見られます。こうした変化は放置するほど修正が困難になるため、早い段階での対処が望まれます。
抜歯後の骨量変化はある程度自然なプロセスであり、すべての患者様にソケットプリザベーションが必須というわけではありません。骨の状態や今後の治療方針によって必要性は異なるため、抜歯の時点で歯科医師と十分に話し合ったうえで判断することが大切です。




通常抜歯後、顎の骨は吸収する。後のインプラント治療が不利になる。抜歯前の疾患により歯を支える骨を失っており、即時埋入が難しい場合に行っている。
Case
ソケットプリザベーションの症例
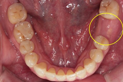
48歳女性


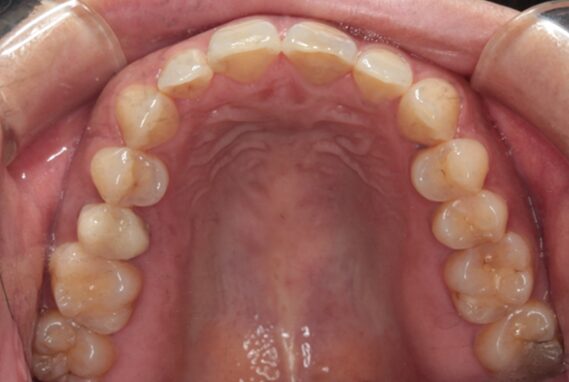
39歳男性



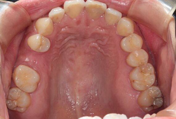
32歳女性


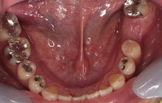
52歳症例


RESERVE
来院のご予約はこちらから
TREATMENT
診療案内
-
{歯が痛い}
{歯茎が痛い}虫歯治療
-
{何もしなくてもズキズキと痛む}
{痛みが消えた}根管治療
-
{噛むと強く響くような痛みがある}
{以前治療した歯が再びうずく}精密根管治療
-
{冷たいもの・熱いもので強くしみる}
{ズキッとする痛みが続く}抜髄治療
-
{治療した歯が腫れてきた}
{噛むと鈍い痛みが残る}感染根管治療
-
{歯茎から血が出る}
{歯がぐらつく}歯周病治療
-
{歯茎が下がってきた}
{歯の根が見えてしみる}歯周外科治療
-
{歯周ポケットが深いと言われた}
{歯茎の腫れが繰り返す}歯周再生治療
-
{虫歯になりたくない}
{歯の掃除をしたい}予防歯科・クリーニング
-
{詰め物/被せ物が取れた}
{口の見た目を改善したい}審美歯科
-
{しっかり嚙める歯が欲しい}
{入れ歯が嫌だ}インプラント
-
{歯並びを治したい}
矯正治療
-
{歯並びを治したい}
アライナー矯正
-
{よく噛める入れ歯が欲しい}
{今の入れ歯が痛い}入れ歯治療
-
{親知らずを抜きたい}
親知らずの抜歯
-
{口内炎が痛い}
{発音障害を直したい}口腔外科
-
{口内炎が痛い}
口内炎の治療
-
{発音障害を直したい}
舌小帯短縮術
-
{歯肉の形を整えたい}
歯肉形成
-
{将来のことを考えて
抜本的に直したい}
{歯がボロボロになってしまった}全顎治療
-
{歯茎が下がってきた}
{歯の根元がしみる}遊離歯肉移植術
-
{歯茎のボリュームを増やしたい}
{歯茎が薄くて不安}結合織移植術
-
{歯がほとんど残っていない}
{噛めない・見た目が気になる}総入れ歯
-
{歯を失ってしまった}
{ブリッジができないと言われた}部分入れ歯